ht1110-janelia-fluor-halotag-far-red-sample-pack-3 ht1100-janelia-fluor-halotag-red-sample-pack-3 ht1010-janelia-fluor-503-halotag-ligand-3 new-kit-box ht1020-janelia-fluor-549-halotag-ligand-3 ht1030-janelia-fluor-jfx554-halotag-ligand-3 ht1040-janelia-fluor-585-halotag-ligand-3 ht1050-janelia-fluor-635-halotag-ligand-3 ht1060-janelia-fluor-646-halotag-ligand-3 ht1070-janelia-fluor-jfx650-halotag-ligand-3 ht1080-janelia-fluor-549i-halotag-ligand ht1090-janelia-fluor-635i-halotag-ligand ht1120-xfd-488i-halotag-ligand ht1130-xfd-660i-halotag-ligand new-kit-box new-kit-box new-kit-box new-kit-box GA1110_Janelia-Fluor--549-HaloTag--Ligand_3 GA1111_Janelia-Fluor--549-HaloTag--Ligand_3 GA1120_Janelia-Fluor--646-HaloTag--Ligand_3 GA1121_Janelia-Fluor--646-HaloTag--Ligand_3 G8581_HaloTag-Fluorescent-Ligands G8582_HaloTag G8272_HaloTag G8273_HaloTag--diAcFAM-Ligand--15ul_3 G2801o g2802-1 g3221-1 G8251_HaloTag G8252_HaloTag--TMR-Ligand--15ul_3 g2991-1 g1001-1 new-kit-box G8471_HaloTag G8472_HaloTag

ライブセル観察に適した共焦点顕微鏡および高解像度イメージング対応のHaloTag®リガンド

  • 膜タンパク質および細胞内タンパク質に対して幅広い蛍光標識を共有結合で導入可能
  • 細胞膜透過性および非透過性リガンドの両タイプをラインアップ
  • Janelia Fluor® HaloTag® リガンドによる迅速な単分子標識、高いシグナル/ノイズ比と特異性
  • XFD 488i および XFD 660iは、それぞれAlexa Fluor® 488 および 660と同一の分子構造
  • 凍結乾燥品のリガンドは培地または水性バッファーに容易に溶解可能

Catalog Number: HT1110

Please Enquire

Catalog Number: HT1100

Please Enquire

Catalog Number: HT1010

Please Enquire

Catalog Number: CS315102

Please Enquire

This product is available under our Early Access program - Learn More

Catalog Number: HT1020

Please Enquire

Catalog Number: HT1030

Please Enquire

Catalog Number: HT1040

Please Enquire

Catalog Number: HT1050

Please Enquire

Catalog Number: HT1060

Please Enquire

Catalog Number: HT1070

Please Enquire

Catalog Number: HT1080

Please Enquire

Catalog Number: HT1090

Please Enquire

Catalog Number: HT1120

Please Enquire

Catalog Number: HT1130

Please Enquire

Catalog Number: CS3495C04

Please Enquire

This product is available under our Early Access program - Learn More

Catalog Number: CS3495C05

Please Enquire

This product is available under our Early Access program - Learn More

Catalog Number: CS3495C06

Please Enquire

This product is available under our Early Access program - Learn More

Catalog Number: CS3495C07

Please Enquire

This product is available under our Early Access program - Learn More

Catalog Number: GA1110

Please Enquire

Catalog Number: GA1111

Please Enquire

Catalog Number: GA1120

Please Enquire

Catalog Number: GA1121

Please Enquire

Catalog Number: G8581

Please Enquire

Catalog Number: G8582

Please Enquire

Catalog Number: G8272

Please Enquire

Catalog Number: G8273

Please Enquire

Catalog Number: G2801

Please Enquire

Catalog Number: G2802

Please Enquire

Catalog Number: G3221

Please Enquire

Catalog Number: G8251

Please Enquire

Catalog Number: G8252

Please Enquire

Catalog Number: G2991

Please Enquire

Catalog Number: G1001

Please Enquire

Catalog Number: G1002

Please Enquire

Catalog Number: G8471

Please Enquire

Catalog Number: G8472

Please Enquire


Lyophilized, Aqueous-Soluble Ligands: Ligand Sample Packs

  Catalog No. Product Name   Size Price Qty  
HT1110 Janelia Fluor® HaloTag® Far Red Sample Pack View Specifications 3 pack     Please Enquire
HT1100 Janelia Fluor® HaloTag® Red Sample Pack View Specifications 3 pack     Please Enquire

Early Access = This product is available under our Early Access program - Learn More

Catalog (FT) = This product is available under our Catalog (FT) program - Learn More

Lyophilized, Aqueous-Soluble Ligands: Permeant

  Catalog No. Product Name   Size Price Qty  
HT1010 Janelia Fluor® 503 HaloTag® Ligand View Specifications 5 pack     Please Enquire
CS315102 Early Access Janelia Fluor® 525 HaloTag® Ligand View Specifications 1 each     Please Enquire
HT1020 Janelia Fluor® 549 HaloTag® Ligand View Specifications 5 pack     Please Enquire
HT1030 Janelia Fluor® JFX554 HaloTag® Ligand View Specifications 5 pack     Please Enquire
HT1040 Janelia Fluor® 585 HaloTag® Ligand View Specifications 5 pack     Please Enquire
HT1050 Janelia Fluor® 635 HaloTag® Ligand View Specifications 5 pack     Please Enquire
HT1060 Janelia Fluor® 646 HaloTag® Ligand View Specifications 5 pack     Please Enquire
HT1070 Janelia Fluor® JFX650 HaloTag® Ligand View Specifications 5 pack     Please Enquire

Early Access = This product is available under our Early Access program - Learn More

Catalog (FT) = This product is available under our Catalog (FT) program - Learn More

Lyophilized, Aqueous-Soluble Ligands: Impermeant

  Catalog No. Product Name   Size Price Qty  
HT1080 Janelia Fluor® 549i HaloTag® Ligand View Specifications 5 pack     Please Enquire
HT1090 Janelia Fluor® 635i HaloTag® Ligand View Specifications 5 pack     Please Enquire
HT1120 XFD 488i HaloTag® Ligand View Specifications 5 pack     Please Enquire
HT1130 XFD 660i HaloTag® Ligand View Specifications 5 pack     Please Enquire

Early Access = This product is available under our Early Access program - Learn More

Catalog (FT) = This product is available under our Catalog (FT) program - Learn More

Lyophilized, Aqueous-Soluble Ligands: In vivo

  Catalog No. Product Name   Size Price Qty  
CS3495C04 Early Access Janelia Fluor® 552 in vivo HaloTag® Ligand Kit View Specifications 1 each     Please Enquire
CS3495C05 Early Access Janelia Fluor® 608 in vivo HaloTag® Ligand Kit View Specifications 1 each     Please Enquire
CS3495C06 Early Access Janelia Fluor® 669 in vivo HaloTag® Ligand Kit View Specifications 1 each     Please Enquire
CS3495C07 Early Access Pulse-Chase Kit: JF552/669 HT Ligands View Specifications 1 each     Please Enquire

Early Access = This product is available under our Early Access program - Learn More

Catalog (FT) = This product is available under our Catalog (FT) program - Learn More

DMSO-Soluble Ligands: Permeant

  Catalog No. Product Name   Size Price Qty  
GA1110 Janelia Fluor® 549 HaloTag® Ligand View Specifications 5μg     Please Enquire
GA1111 Janelia Fluor® 549 HaloTag® Ligand View Specifications 3 × 5μg     Please Enquire
GA1120 Janelia Fluor® 646 HaloTag® Ligand View Specifications 5μg     Please Enquire
GA1121 Janelia Fluor® 646 HaloTag® Ligand View Specifications 3 × 5μg     Please Enquire
G8581 HaloTag® Coumarin Ligand View Specifications 30μl     Please Enquire
G8582 HaloTag® Coumarin Ligand View Specifications 15μl     Please Enquire
G8272 HaloTag® diAcFAM Ligand View Specifications 30μl     Please Enquire
G8273 HaloTag® diAcFAM Ligand View Specifications 15μl     Please Enquire
G2801 HaloTag® Oregon Green® Ligand View Specifications 30μl     Please Enquire
G2802 HaloTag® Oregon Green® Ligand View Specifications 15μl     Please Enquire
G3221 HaloTag® R110Direct™ Ligand View Specifications 30μl     Please Enquire
G8251 HaloTag® TMR Ligand View Specifications 30μl     Please Enquire
G8252 HaloTag® TMR Ligand View Specifications 15μl     Please Enquire
G2991 HaloTag® TMRDirect™ Ligand View Specifications 30μl     Please Enquire

Early Access = This product is available under our Early Access program - Learn More

Catalog (FT) = This product is available under our Catalog (FT) program - Learn More

DMSO-Soluble Ligands: Impermeant

  Catalog No. Product Name   Size Price Qty  
G1001 HaloTag® Alexa Fluor® 488 Ligand View Specifications 30μl     Please Enquire
G1002 HaloTag® Alexa Fluor® 488 Ligand View Specifications 15μl     Please Enquire
G8471 HaloTag® Alexa Fluor® 660 Ligand View Specifications 30μl     Please Enquire
G8472 HaloTag® Alexa Fluor® 660 Ligand View Specifications 15μl     Please Enquire

Early Access = This product is available under our Early Access program - Learn More

Catalog (FT) = This product is available under our Catalog (FT) program - Learn More

概要
プロトコル
仕様
資料
関連製品
引用文献

イメージング、FACS、タンパク質解析に対応する多用途ツールキット

当社の HaloTag® リガンド製品群 は、蛍光標識によるイメージングや動的ソーティングなど、さまざまな機能に対応しています。
これらのリガンドは、生理的条件下で HaloTag® 融合タンパク質と極めて特異的かつほぼ不可逆的な共有結合を形成し、安定かつ効率的な標識を実現しながら、バックグラウンド干渉を最小限に抑えます。HaloTag® リガンドを使用することで、適切な化学基を持つ化合物や表面を対象に、さまざまな解析や可視化が可能になります。さらに、HaloTag® リガンド・ビルディングブロックの充実したラインナップにより、応用範囲は無限に広がります。

主な用途

  •  ライブセルおよび固定細胞イメージング:HaloTag は安定した共有結合を形成するため、厳しい条件下でもライブセルおよび固定細胞のイメージングが可能
  • タンパク質複合体のプルダウン:HaloTag® Biotin Ligand のスペーサーおよび反応性リンカーによりプルダウン効率を最適化。代替手段として HaloLink™ Resinによるダイレクトプルダウンにも対応
  • 連続および多目的標識:モジュール設計により、用途に応じてリガンドを切り替えることで機能を自在にカスタマイズ可能
  • 単一の遺伝子コンストラクトで複数の用途に対応:HaloTag® リガンドを変更するだけで機能切り替えが可能なため、新たな発現コンストラクトの作製が不要
  • SDS-PAGE および質量分析によるタンパク質解析:共有結合は変性条件下でも安定に保持されるため、下流の解析に対応 

詳しくは、細胞イメージングに関する「プロトコル & アプリケーションガイド」をご覧ください。

Janelia Fluor® HaloTag® リガンド ― より高輝度でフォトスタビリティに優れたリガンド

Janelia Fluor® HaloTag® リガンド(JFX 色素を含む)は、ライブセルおよび内在性環境における HaloTag® 融合タンパク質の特性解析に対応するよう設計されています。 Janelia Fluor® HaloTag® 色素は可視光スペクトル全体をカバーしており、特有のフルオロジェニック特性を持つことで、蛍光の明るさを高め、バックグラウンドシグナルを低減し、高解像度イメージング用途に最適な性能を発揮します。

JFX 色素は Janelia Fluor® 色素の構造類似体であり、ローダミンのアルキルアミノ置換基に重水素(デューテリウム)を導入しています。この構造変更により、光化学的に誘導されるスペクトルシフトが抑制され、フォトスタビリティが大幅に向上します。これにより、フォトブリーチング(退色)が低減され、シグナル持続時間が延長されます。Janelia Fluor® および JFX 色素の高いフォトスタビリティは、1分子イメージングや長時間のライブセル観察において非常に有用です。

Janelia Fluor® および JFX 色素は、固定細胞、ライブセル、さらには in vivo 実験において使用されるさまざまなイメージング手法に対応しています: 

  • 超解像および高解像度イメージング
  • 標準的な共焦点イメージング
  • フローサイトメトリー(FACS)
  • In-gel 内蛍光検出
  Janelia Fluor® および JFX 色素の大きな利点のひとつは、パルスチェース標識に対応している点です。この技術により、異なる色のリガンドを用いてタンパク質を連続標識することが可能です。パルスチェース標識は、タンパク質の動態をリアルタイムでモニタリングできるため、細胞内での輸送(トラフィッキング)や分解・再合成(ターンオーバー)などのプロセスに関する重要な知見の取得を可能にします。
Absorption and Emission Spectra of Janelia Fluor® JFX HaloTag® Dyes
Absorption and Emission Spectra of Janelia Fluor® HaloTag® Dyes

注目の論文

Janelia Fluor® HaloTag® リガンドのスペクトルおよび化学的特性、並びに組織や in vivo での応用については、査読付き論文『A general method to fine‑tune fluorophores for live‑cell and in vivo imaging』をご参照ください。

Thumbnail image of the featured publication, "A general method to fine-tune fluorophores for live-cell and in vivo imaging".

凍結乾燥 HaloTag® リガンドの利点

一部の HaloTag® リガンドは、作業効率を高め、廃棄ロスを最小限に抑えることを目的とした、新しい DMSO フリーの凍結乾燥フォーマットでご提供しています。この凍結乾燥形態には、以下のような利点があります:

  • ワークフローの簡略化:細胞培地などの水系溶液に直接溶解して使用可能
  • 有機溶媒が不要:実験に干渉する可能性のある有機溶媒を使用する必要がない
  • 定量性の向上:1バイアルあたりのリガンド量が一定で、再現性の高い実験設計が可能
  • 透明バイアル包装:リガンドが目視しやすく、秤量・調製時の確認が容易
  • 個別分注済み:あらかじめ分注されたバイアルにより、使い切りで廃棄ロスを削減し、複数実験の効率を向上

 

凍結乾燥 HaloTag® リガンドをお試しになりませんか?サンプルパックには、3種類の凍結乾燥色素が含まれています。

HaloTag®リガンドを用いたライブセル標識

細胞膜透過性リガンド

A.

Cell image of parental U2OS cells and U2OS cells stably expressing HaloTag® protein fused to three copies of a nuclear localization sequence (labeled with Janelia Fluor® 503 HaloTag® Ligand).

B.

Cell image of parental U2OS cells and U2OS cells stably expressing HaloTag® protein fused to three copies of a nuclear localization sequence (labeled with Janelia Fluor® JFX 554 HaloTag® Ligand).

C.

Cell image of parental U2OS cells and U2OS cells stably expressing HaloTag® protein fused to three copies of a nuclear localization sequence (labeled with Janelia Fluor® 635 HaloTag® Ligand).

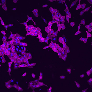
親株のU2OS細胞および、3コピーの核局在化シグナル(NLS)を融合したHaloTag®タンパク質を安定発現するU2OS細胞を、ガラスボトムチャンバースライド上に播種し、Janelia Fluor® 503、Janelia Fluor® JFX 554、または Janelia Fluor® 635 HaloTag® Ligandで37 °C、CO₂インキュベーター内で30分間標識した。培地はフェノールレッド非含有培地に置換した。Janelia Fluor® 503 HaloTag® Ligandは488nm(パネルA)、Janelia Fluor® JFX 554 HaloTag® Ligandは561nm(パネルB)、Janelia Fluor® 635 HaloTag® Ligandは637nm(パネルC)のレーザーで励起し撮像した。HaloTag 発現細胞では、標識は核内に限定されて観察されたが、HaloTag を持たない親株細胞では標識は観察されなかった。画像は、Nikon AX/AXR 共焦点顕微鏡および40倍油浸プランフルオール対物レンズを用いて取得した。

細胞膜非透過性リガンド

A.

Cell image of U2OS cells stably expressing HaloTag® protein fused to three copies of a nuclear localization sequence (labeled with Alexa Fluor® 488 HaloTag® Ligand).

B.

Cell image of U2OS cells stably expressing HaloTag® protein fused to three copies of a nuclear localization sequence (labeled with Alexa Fluor® 660 HaloTag® Ligand).

C.

Cell image of U2OS cells stably expressing HaloTag® protein fused to three copies of a nuclear localization sequence (labeled with Janelia Fluor® 549i HaloTag® Ligand).

D.

Cell image of U2OS cells stably expressing HaloTag® protein fused to three copies of a nuclear localization sequence (labeled with Janelia Fluor® 635i HaloTag® Ligand).

細胞膜非透過性の蛍光リガンドを用いた、HaloTag® 融合タンパク質のライブセル標識 切断型 β1 インテグリン受容体の細胞外ドメインに HaloTag® タンパク質を融合させたもの、または 3コピーの核局在化シグナル(NLS)を融合させたコントロールU2OS細胞をガラス底96ウェルプレートに播種し、以下のいずれかの HaloTag® リガンドで、37 °C、CO₂インキュベーター内で30分間標識した:Alexa Fluor® 488(パネルA)、Alexa Fluor® 660(パネルB)、Janelia Fluor® 549i(パネルC)、Janelia Fluor® 635i(パネルD)。標識後、培地をフェノールレッド非含有培地に置換し、Nikon AX/AXR 共焦点顕微鏡および20倍対物レンズで撮像した。蛍光シグナルの取得は、Alexa Fluor® 488 に対して488nm(パネルA)、Alexa Fluor® 660 に対して640nm(パネルB)、Janelia Fluor® 549i に対して561nm(パネルC)、Janelia Fluor® 635i に対して640nm(パネルD)のレーザー励起を用いた。HaloTag 発現細胞では標識は細胞膜に限定され、核局在型HaloTagを発現するコントロールU2OS細胞では蛍光は観察されなかった。


簡便なノーウォッシュ標識

 

 

分泌タンパク質を研究していますか?

面倒な洗浄ステップにうんざりしていませんか?

洗浄不要で使える “Direct” および Janelia Fluor® リガンドをぜひお試しください。

Schematics showing live-cell labeling with the HaloTag® Technology. Panel A. Rapid labeling. Panel B. No-wash labeling.

Janelia Fluor® HaloTag® リガンドで標識したタンパク質のFACS

Excitation-emission spectra for Janelia Fluor 549 and 646 HaloTag Ligands  15262ta-w

タンパク質解析には HaloTag® を活用

HaloTag® テクノロジーの特長と、なぜタンパク質標識・解析において強力なツールとなるのかをご紹介します。

詳細を見る

HEK293細胞に対しCRISPR/Cas9を用いたゲノム編集を行い、内在性BRD4タンパク質のN末端にHaloTagを付加した。編集後の細胞プールは、Janelia Fluor® 646 HaloTag® Ligandで標識し、BD FACSMelody™ ソーターでソーティングを行い、単一クローンを単離した。増殖後のクローン細胞群およびJanelia Fluor® 646 HaloTag® Ligandで標識した親株HEK293細胞を、BD LSRFortessa™にてフローサイトメトリー解析した。内在性BRD4にHaloTagが融合されたクローン(青ヒストグラム)は、親株HEK293細胞(ピンクヒストグラム)と比較して、平均蛍光強度が約5倍シフトした。

仕様

Catalog Number:

選択製品の構成品内容

Item Part # Size Concentration

Janelia Fluor® 635 HaloTag® Ligand

HT105A 1 × 1 vial 1nmol/vial

Janelia Fluor® 646 HaloTag® Ligand

HT106A 1 × 1 vial 1nmol/vial

Janelia Fluor® JFX650 HaloTag® Ligand

HT107A 1 × 1 vial 1nmol/vial

分析証明書

Search by lot number

使用制限

For Research Use Only. Not for Use in Diagnostic Procedures.

保存条件

BB

パテントおよび免責条項

BY USE OF THIS PRODUCT, RESEARCHER AGREES TO BE BOUND BY THE TERMS OF THIS LIMITED USE LABEL LICENSE. If researcher is not willing to accept the terms of this label license, and the product is unused, Promega will accept return of the unused product and provide researcher with a full refund.
Researcher may use this product for research use only; no transfer or commercial use of this product is allowed. Commercial use means any and all uses of this product by a party in exchange for consideration, including, but not limited to (1) use in further product manufacture; (2) use in provision of services, information or data; and (3) resale of the product or its derivatives, whether or not such product or derivatives are resold for use in research. With respect to any uses outside this label license, including any commercial, diagnostic, therapeutic or prophylactic uses, please contact Promega for supply and licensing information. PROMEGA MAKES NO REPRESENTATIONS OR WARRANTIES OF ANY KIND, EITHER EXPRESSED OR IMPLIED, INCLUDING FOR MERCHANTABILITY OR FITNESS FOR A PARTICULAR PURPOSE WITH REGARDS TO THE PRODUCT. The terms of this label license shall be governed under the laws of the State of Wisconsin, USA.

Licensed under U.S. Pat. Nos. 9,933,417, 10,018,624 and 10,161,932 from Howard Hughes Medical Institute.

選択製品の構成品内容

Item Part # Size Concentration

Janelia Fluor® 549 HaloTag® Ligand

HT102A 1 × 1 vial 1nmol/vial

Janelia Fluor® JFX554 HaloTag® Ligand

HT103A 1 × 1 vial 1nmol/vial

Janelia Fluor® 585 HaloTag® Ligand

HT104A 1 × 1 vial 1nmol/vial

分析証明書

Search by lot number

使用制限

For Research Use Only. Not for Use in Diagnostic Procedures.

保存条件

BB

パテントおよび免責条項

BY USE OF THIS PRODUCT, RESEARCHER AGREES TO BE BOUND BY THE TERMS OF THIS LIMITED USE LABEL LICENSE. If researcher is not willing to accept the terms of this label license, and the product is unused, Promega will accept return of the unused product and provide researcher with a full refund.
Researcher may use this product for research use only; no transfer or commercial use of this product is allowed. Commercial use means any and all uses of this product by a party in exchange for consideration, including, but not limited to (1) use in further product manufacture; (2) use in provision of services, information or data; and (3) resale of the product or its derivatives, whether or not such product or derivatives are resold for use in research. With respect to any uses outside this label license, including any commercial, diagnostic, therapeutic or prophylactic uses, please contact Promega for supply and licensing information. PROMEGA MAKES NO REPRESENTATIONS OR WARRANTIES OF ANY KIND, EITHER EXPRESSED OR IMPLIED, INCLUDING FOR MERCHANTABILITY OR FITNESS FOR A PARTICULAR PURPOSE WITH REGARDS TO THE PRODUCT. The terms of this label license shall be governed under the laws of the State of Wisconsin, USA.

Licensed under U.S. Pat. Nos. 9,933,417, 10,018,624 and 10,161,932 from Howard Hughes Medical Institute.

選択製品の構成品内容

Item Part # Size Concentration

Janelia Fluor® 503 HaloTag® Ligand

HT101A 5 × 1 vial 1nmol/vial

分析証明書

Search by lot number

使用制限

For Research Use Only. Not for Use in Diagnostic Procedures.

保存条件

BB

パテントおよび免責条項

BY USE OF THIS PRODUCT, RESEARCHER AGREES TO BE BOUND BY THE TERMS OF THIS LIMITED USE LABEL LICENSE. If researcher is not willing to accept the terms of this label license, and the product is unused, Promega will accept return of the unused product and provide researcher with a full refund.
Researcher may use this product for research use only; no transfer or commercial use of this product is allowed. Commercial use means any and all uses of this product by a party in exchange for consideration, including, but not limited to (1) use in further product manufacture; (2) use in provision of services, information or data; and (3) resale of the product or its derivatives, whether or not such product or derivatives are resold for use in research. With respect to any uses outside this label license, including any commercial, diagnostic, therapeutic or prophylactic uses, please contact Promega for supply and licensing information. PROMEGA MAKES NO REPRESENTATIONS OR WARRANTIES OF ANY KIND, EITHER EXPRESSED OR IMPLIED, INCLUDING FOR MERCHANTABILITY OR FITNESS FOR A PARTICULAR PURPOSE WITH REGARDS TO THE PRODUCT. The terms of this label license shall be governed under the laws of the State of Wisconsin, USA.

Licensed under U.S. Pat. Nos. 9,933,417, 10,018,624 and 10,161,932 from Howard Hughes Medical Institute.

分析証明書

Search by lot number

保存条件

AA

パテントおよび免責条項

BY USE OF THIS PRODUCT, RESEARCHER AGREES TO BE BOUND BY THE TERMS OF THIS LIMITED USE LABEL LICENSE. If researcher is not willing to accept the terms of this label license, and the product is unused, Promega will accept return of the unused product and provide researcher with a full refund.
Researcher may use this product for research use only; no transfer or commercial use of this product is allowed. Commercial use means any and all uses of this product by a party in exchange for consideration, including, but not limited to (1) use in further product manufacture; (2) use in provision of services, information or data; and (3) resale of the product or its derivatives, whether or not such product or derivatives are resold for use in research. With respect to any uses outside this label license, including any commercial, diagnostic, therapeutic or prophylactic uses, please contact Promega for supply and licensing information. PROMEGA MAKES NO REPRESENTATIONS OR WARRANTIES OF ANY KIND, EITHER EXPRESSED OR IMPLIED, INCLUDING FOR MERCHANTABILITY OR FITNESS FOR A PARTICULAR PURPOSE WITH REGARDS TO THE PRODUCT. The terms of this label license shall be governed under the laws of the State of Wisconsin, USA.

Licensed under U.S. Pat. Nos. 9,933,417, 10,018,624 and 10,161,932 from Howard Hughes Medical Institute.

選択製品の構成品内容

Item Part # Size Concentration

Janelia Fluor® 549 HaloTag® Ligand

HT102A 5 × 1 vial 1nmol/vial

分析証明書

Search by lot number

使用制限

For Research Use Only. Not for Use in Diagnostic Procedures.

保存条件

BB

パテントおよび免責条項

BY USE OF THIS PRODUCT, RESEARCHER AGREES TO BE BOUND BY THE TERMS OF THIS LIMITED USE LABEL LICENSE. If researcher is not willing to accept the terms of this label license, and the product is unused, Promega will accept return of the unused product and provide researcher with a full refund.
Researcher may use this product for research use only; no transfer or commercial use of this product is allowed. Commercial use means any and all uses of this product by a party in exchange for consideration, including, but not limited to (1) use in further product manufacture; (2) use in provision of services, information or data; and (3) resale of the product or its derivatives, whether or not such product or derivatives are resold for use in research. With respect to any uses outside this label license, including any commercial, diagnostic, therapeutic or prophylactic uses, please contact Promega for supply and licensing information. PROMEGA MAKES NO REPRESENTATIONS OR WARRANTIES OF ANY KIND, EITHER EXPRESSED OR IMPLIED, INCLUDING FOR MERCHANTABILITY OR FITNESS FOR A PARTICULAR PURPOSE WITH REGARDS TO THE PRODUCT. The terms of this label license shall be governed under the laws of the State of Wisconsin, USA.

Licensed under U.S. Pat. Nos. 9,933,417, 10,018,624 and 10,161,932 from Howard Hughes Medical Institute.

選択製品の構成品内容

Item Part # Size Concentration

Janelia Fluor® JFX554 HaloTag® Ligand

HT103A 5 × 1 vial 1nmol/vial

分析証明書

Search by lot number

使用制限

For Research Use Only. Not for Use in Diagnostic Procedures.

保存条件

BB

パテントおよび免責条項

BY USE OF THIS PRODUCT, RESEARCHER AGREES TO BE BOUND BY THE TERMS OF THIS LIMITED USE LABEL LICENSE. If researcher is not willing to accept the terms of this label license, and the product is unused, Promega will accept return of the unused product and provide researcher with a full refund.
Researcher may use this product for research use only; no transfer or commercial use of this product is allowed. Commercial use means any and all uses of this product by a party in exchange for consideration, including, but not limited to (1) use in further product manufacture; (2) use in provision of services, information or data; and (3) resale of the product or its derivatives, whether or not such product or derivatives are resold for use in research. With respect to any uses outside this label license, including any commercial, diagnostic, therapeutic or prophylactic uses, please contact Promega for supply and licensing information. PROMEGA MAKES NO REPRESENTATIONS OR WARRANTIES OF ANY KIND, EITHER EXPRESSED OR IMPLIED, INCLUDING FOR MERCHANTABILITY OR FITNESS FOR A PARTICULAR PURPOSE WITH REGARDS TO THE PRODUCT. The terms of this label license shall be governed under the laws of the State of Wisconsin, USA.

Licensed under U.S. Pat. Nos. 9,933,417, 10,018,624 and 10,161,932 from Howard Hughes Medical Institute.

選択製品の構成品内容

Item Part # Size Concentration

Janelia Fluor® 585 HaloTag® Ligand

HT104A 5 × 1 vial 1nmol/vial

分析証明書

Search by lot number

使用制限

For Research Use Only. Not for Use in Diagnostic Procedures.

保存条件

BB

パテントおよび免責条項

BY USE OF THIS PRODUCT, RESEARCHER AGREES TO BE BOUND BY THE TERMS OF THIS LIMITED USE LABEL LICENSE. If researcher is not willing to accept the terms of this label license, and the product is unused, Promega will accept return of the unused product and provide researcher with a full refund.
Researcher may use this product for research use only; no transfer or commercial use of this product is allowed. Commercial use means any and all uses of this product by a party in exchange for consideration, including, but not limited to (1) use in further product manufacture; (2) use in provision of services, information or data; and (3) resale of the product or its derivatives, whether or not such product or derivatives are resold for use in research. With respect to any uses outside this label license, including any commercial, diagnostic, therapeutic or prophylactic uses, please contact Promega for supply and licensing information. PROMEGA MAKES NO REPRESENTATIONS OR WARRANTIES OF ANY KIND, EITHER EXPRESSED OR IMPLIED, INCLUDING FOR MERCHANTABILITY OR FITNESS FOR A PARTICULAR PURPOSE WITH REGARDS TO THE PRODUCT. The terms of this label license shall be governed under the laws of the State of Wisconsin, USA.

Licensed under U.S. Pat. Nos. 9,933,417, 10,018,624 and 10,161,932 from Howard Hughes Medical Institute.

選択製品の構成品内容

Item Part # Size Concentration

Janelia Fluor® 635 HaloTag® Ligand

HT105A 5 × 1 vial 1nmol/vial

分析証明書

Search by lot number

使用制限

For Research Use Only. Not for Use in Diagnostic Procedures.

保存条件

BB

パテントおよび免責条項

BY USE OF THIS PRODUCT, RESEARCHER AGREES TO BE BOUND BY THE TERMS OF THIS LIMITED USE LABEL LICENSE. If researcher is not willing to accept the terms of this label license, and the product is unused, Promega will accept return of the unused product and provide researcher with a full refund.
Researcher may use this product for research use only; no transfer or commercial use of this product is allowed. Commercial use means any and all uses of this product by a party in exchange for consideration, including, but not limited to (1) use in further product manufacture; (2) use in provision of services, information or data; and (3) resale of the product or its derivatives, whether or not such product or derivatives are resold for use in research. With respect to any uses outside this label license, including any commercial, diagnostic, therapeutic or prophylactic uses, please contact Promega for supply and licensing information. PROMEGA MAKES NO REPRESENTATIONS OR WARRANTIES OF ANY KIND, EITHER EXPRESSED OR IMPLIED, INCLUDING FOR MERCHANTABILITY OR FITNESS FOR A PARTICULAR PURPOSE WITH REGARDS TO THE PRODUCT. The terms of this label license shall be governed under the laws of the State of Wisconsin, USA.

Licensed under U.S. Pat. Nos. 9,933,417, 10,018,624 and 10,161,932 from Howard Hughes Medical Institute.

選択製品の構成品内容

Item Part # Size Concentration

Janelia Fluor® 646 HaloTag® Ligand

HT106A 5 × 1 vial 1nmol/vial

分析証明書

Search by lot number

使用制限

For Research Use Only. Not for Use in Diagnostic Procedures.

保存条件

BB

パテントおよび免責条項

BY USE OF THIS PRODUCT, RESEARCHER AGREES TO BE BOUND BY THE TERMS OF THIS LIMITED USE LABEL LICENSE. If researcher is not willing to accept the terms of this label license, and the product is unused, Promega will accept return of the unused product and provide researcher with a full refund.
Researcher may use this product for research use only; no transfer or commercial use of this product is allowed. Commercial use means any and all uses of this product by a party in exchange for consideration, including, but not limited to (1) use in further product manufacture; (2) use in provision of services, information or data; and (3) resale of the product or its derivatives, whether or not such product or derivatives are resold for use in research. With respect to any uses outside this label license, including any commercial, diagnostic, therapeutic or prophylactic uses, please contact Promega for supply and licensing information. PROMEGA MAKES NO REPRESENTATIONS OR WARRANTIES OF ANY KIND, EITHER EXPRESSED OR IMPLIED, INCLUDING FOR MERCHANTABILITY OR FITNESS FOR A PARTICULAR PURPOSE WITH REGARDS TO THE PRODUCT. The terms of this label license shall be governed under the laws of the State of Wisconsin, USA.

Licensed under U.S. Pat. Nos. 9,933,417, 10,018,624 and 10,161,932 from Howard Hughes Medical Institute.

選択製品の構成品内容

Item Part # Size Concentration

Janelia Fluor® JFX650 HaloTag® Ligand

HT107A 5 × 1 vial 1nmol/vial

分析証明書

Search by lot number

使用制限

For Research Use Only. Not for Use in Diagnostic Procedures.

保存条件

BB

パテントおよび免責条項

BY USE OF THIS PRODUCT, RESEARCHER AGREES TO BE BOUND BY THE TERMS OF THIS LIMITED USE LABEL LICENSE. If researcher is not willing to accept the terms of this label license, and the product is unused, Promega will accept return of the unused product and provide researcher with a full refund.
Researcher may use this product for research use only; no transfer or commercial use of this product is allowed. Commercial use means any and all uses of this product by a party in exchange for consideration, including, but not limited to (1) use in further product manufacture; (2) use in provision of services, information or data; and (3) resale of the product or its derivatives, whether or not such product or derivatives are resold for use in research. With respect to any uses outside this label license, including any commercial, diagnostic, therapeutic or prophylactic uses, please contact Promega for supply and licensing information. PROMEGA MAKES NO REPRESENTATIONS OR WARRANTIES OF ANY KIND, EITHER EXPRESSED OR IMPLIED, INCLUDING FOR MERCHANTABILITY OR FITNESS FOR A PARTICULAR PURPOSE WITH REGARDS TO THE PRODUCT. The terms of this label license shall be governed under the laws of the State of Wisconsin, USA.

Licensed under U.S. Pat. Nos. 9,933,417, 10,018,624 and 10,161,932 from Howard Hughes Medical Institute.

選択製品の構成品内容

Item Part # Size

Janelia Fluor® 549i HaloTag® Ligand

HT108A 5 × 1 vial

分析証明書

Search by lot number

使用制限

For Research Use Only. Not for Use in Diagnostic Procedures.

保存条件

BB

パテントおよび免責条項

BY USE OF THIS PRODUCT, RESEARCHER AGREES TO BE BOUND BY THE TERMS OF THIS LIMITED USE LABEL LICENSE. If researcher is not willing to accept the terms of this label license, and the product is unused, Promega will accept return of the unused product and provide researcher with a full refund.
Researcher may use this product for research use only; no transfer or commercial use of this product is allowed. Commercial use means any and all uses of this product by a party in exchange for consideration, including, but not limited to (1) use in further product manufacture; (2) use in provision of services, information or data; and (3) resale of the product or its derivatives, whether or not such product or derivatives are resold for use in research. With respect to any uses outside this label license, including any commercial, diagnostic, therapeutic or prophylactic uses, please contact Promega for supply and licensing information. PROMEGA MAKES NO REPRESENTATIONS OR WARRANTIES OF ANY KIND, EITHER EXPRESSED OR IMPLIED, INCLUDING FOR MERCHANTABILITY OR FITNESS FOR A PARTICULAR PURPOSE WITH REGARDS TO THE PRODUCT. The terms of this label license shall be governed under the laws of the State of Wisconsin, USA.

Licensed under U.S. Pat. Nos. 9,933,417, 10,018,624 and 10,161,932 from Howard Hughes Medical Institute.

選択製品の構成品内容

Item Part # Size

Janelia Fluor® 635i HaloTag® Ligand

HT109A 5 × 1 vial

分析証明書

Search by lot number

使用制限

For Research Use Only. Not for Use in Diagnostic Procedures.

保存条件

BB

パテントおよび免責条項

BY USE OF THIS PRODUCT, RESEARCHER AGREES TO BE BOUND BY THE TERMS OF THIS LIMITED USE LABEL LICENSE. If researcher is not willing to accept the terms of this label license, and the product is unused, Promega will accept return of the unused product and provide researcher with a full refund.
Researcher may use this product for research use only; no transfer or commercial use of this product is allowed. Commercial use means any and all uses of this product by a party in exchange for consideration, including, but not limited to (1) use in further product manufacture; (2) use in provision of services, information or data; and (3) resale of the product or its derivatives, whether or not such product or derivatives are resold for use in research. With respect to any uses outside this label license, including any commercial, diagnostic, therapeutic or prophylactic uses, please contact Promega for supply and licensing information. PROMEGA MAKES NO REPRESENTATIONS OR WARRANTIES OF ANY KIND, EITHER EXPRESSED OR IMPLIED, INCLUDING FOR MERCHANTABILITY OR FITNESS FOR A PARTICULAR PURPOSE WITH REGARDS TO THE PRODUCT. The terms of this label license shall be governed under the laws of the State of Wisconsin, USA.

Licensed under U.S. Pat. Nos. 9,933,417, 10,018,624 and 10,161,932 from Howard Hughes Medical Institute.

選択製品の構成品内容

Item Part # Size

XFD 488i HaloTag® Ligand

HT112A 5 × 1 vial

分析証明書

Search by lot number

使用制限

For Research Use Only. Not for Use in Diagnostic Procedures.

保存条件

BB

パテントおよび免責条項

BY USE OF THIS PRODUCT, RESEARCHER AGREES TO BE BOUND BY THE TERMS OF THIS LIMITED USE LABEL LICENSE. If researcher is not willing to accept the terms of this label license, and the product is unused, Promega will accept return of the unused product and provide researcher with a full refund.
Researcher may use this product for research use only; no transfer or commercial use of this product is allowed. Commercial use means any and all uses of this product by a party in exchange for consideration, including, but not limited to (1) use in further product manufacture; (2) use in provision of services, information or data; and (3) resale of the product or its derivatives, whether or not such product or derivatives are resold for use in research. With respect to any uses outside this label license, including any commercial, diagnostic, therapeutic or prophylactic uses, please contact Promega for supply and licensing information. PROMEGA MAKES NO REPRESENTATIONS OR WARRANTIES OF ANY KIND, EITHER EXPRESSED OR IMPLIED, INCLUDING FOR MERCHANTABILITY OR FITNESS FOR A PARTICULAR PURPOSE WITH REGARDS TO THE PRODUCT. The terms of this label license shall be governed under the laws of the State of Wisconsin, USA.

選択製品の構成品内容

Item Part # Size

XFD 660i HaloTag® Ligand

HT113A 5 × 1 vial

分析証明書

Search by lot number

使用制限

For Research Use Only. Not for Use in Diagnostic Procedures.

保存条件

BB

パテントおよび免責条項

BY USE OF THIS PRODUCT, RESEARCHER AGREES TO BE BOUND BY THE TERMS OF THIS LIMITED USE LABEL LICENSE. If researcher is not willing to accept the terms of this label license, and the product is unused, Promega will accept return of the unused product and provide researcher with a full refund.
Researcher may use this product for research use only; no transfer or commercial use of this product is allowed. Commercial use means any and all uses of this product by a party in exchange for consideration, including, but not limited to (1) use in further product manufacture; (2) use in provision of services, information or data; and (3) resale of the product or its derivatives, whether or not such product or derivatives are resold for use in research. With respect to any uses outside this label license, including any commercial, diagnostic, therapeutic or prophylactic uses, please contact Promega for supply and licensing information. PROMEGA MAKES NO REPRESENTATIONS OR WARRANTIES OF ANY KIND, EITHER EXPRESSED OR IMPLIED, INCLUDING FOR MERCHANTABILITY OR FITNESS FOR A PARTICULAR PURPOSE WITH REGARDS TO THE PRODUCT. The terms of this label license shall be governed under the laws of the State of Wisconsin, USA.

選択製品の構成品内容

Item Part # Size

Janelia Fluor® 552 in vivo HaloTag® Ligand

CS3495C01 1 × 0.22μmol

分析証明書

Search by lot number

保存条件

AA

パテントおよび免責条項

BY USE OF THIS PRODUCT, RESEARCHER AGREES TO BE BOUND BY THE TERMS OF THIS LIMITED USE LABEL LICENSE. If researcher is not willing to accept the terms of this label license, and the product is unused, Promega will accept return of the unused product and provide researcher with a full refund.
Researcher may use this product for research use only; no transfer or commercial use of this product is allowed. Commercial use means any and all uses of this product by a party in exchange for consideration, including, but not limited to (1) use in further product manufacture; (2) use in provision of services, information or data; and (3) resale of the product or its derivatives, whether or not such product or derivatives are resold for use in research. With respect to any uses outside this label license, including any commercial, diagnostic, therapeutic or prophylactic uses, please contact Promega for supply and licensing information. PROMEGA MAKES NO REPRESENTATIONS OR WARRANTIES OF ANY KIND, EITHER EXPRESSED OR IMPLIED, INCLUDING FOR MERCHANTABILITY OR FITNESS FOR A PARTICULAR PURPOSE WITH REGARDS TO THE PRODUCT. The terms of this label license shall be governed under the laws of the State of Wisconsin, USA.

Licensed under U.S. Pat. Nos. 9,933,417, 10,018,624 and 10,161,932 from Howard Hughes Medical Institute.

選択製品の構成品内容

Item Part # Size

Janelia Fluor® 608 in vivo HaloTag® Ligand

CS3495C02 1 × 0.22μmol

分析証明書

Search by lot number

保存条件

AA

パテントおよび免責条項

BY USE OF THIS PRODUCT, RESEARCHER AGREES TO BE BOUND BY THE TERMS OF THIS LIMITED USE LABEL LICENSE. If researcher is not willing to accept the terms of this label license, and the product is unused, Promega will accept return of the unused product and provide researcher with a full refund.
Researcher may use this product for research use only; no transfer or commercial use of this product is allowed. Commercial use means any and all uses of this product by a party in exchange for consideration, including, but not limited to (1) use in further product manufacture; (2) use in provision of services, information or data; and (3) resale of the product or its derivatives, whether or not such product or derivatives are resold for use in research. With respect to any uses outside this label license, including any commercial, diagnostic, therapeutic or prophylactic uses, please contact Promega for supply and licensing information. PROMEGA MAKES NO REPRESENTATIONS OR WARRANTIES OF ANY KIND, EITHER EXPRESSED OR IMPLIED, INCLUDING FOR MERCHANTABILITY OR FITNESS FOR A PARTICULAR PURPOSE WITH REGARDS TO THE PRODUCT. The terms of this label license shall be governed under the laws of the State of Wisconsin, USA.

Licensed under U.S. Pat. Nos. 9,933,417, 10,018,624 and 10,161,932 from Howard Hughes Medical Institute.

選択製品の構成品内容

Item Part # Size

Janelia Fluor® 669 in vivo HaloTag® Ligand

CS3495C03 1 × 0.22μmol

分析証明書

Search by lot number

保存条件

AA

パテントおよび免責条項

BY USE OF THIS PRODUCT, RESEARCHER AGREES TO BE BOUND BY THE TERMS OF THIS LIMITED USE LABEL LICENSE. If researcher is not willing to accept the terms of this label license, and the product is unused, Promega will accept return of the unused product and provide researcher with a full refund.
Researcher may use this product for research use only; no transfer or commercial use of this product is allowed. Commercial use means any and all uses of this product by a party in exchange for consideration, including, but not limited to (1) use in further product manufacture; (2) use in provision of services, information or data; and (3) resale of the product or its derivatives, whether or not such product or derivatives are resold for use in research. With respect to any uses outside this label license, including any commercial, diagnostic, therapeutic or prophylactic uses, please contact Promega for supply and licensing information. PROMEGA MAKES NO REPRESENTATIONS OR WARRANTIES OF ANY KIND, EITHER EXPRESSED OR IMPLIED, INCLUDING FOR MERCHANTABILITY OR FITNESS FOR A PARTICULAR PURPOSE WITH REGARDS TO THE PRODUCT. The terms of this label license shall be governed under the laws of the State of Wisconsin, USA.

Licensed under U.S. Pat. Nos. 9,933,417, 10,018,624 and 10,161,932 from Howard Hughes Medical Institute.

選択製品の構成品内容

Item Part # Size

Janelia Fluor® 552 in vivo HaloTag® Ligand

CS3495C01 1 × 0.22μmol

Janelia Fluor® 669 in vivo HaloTag® Ligand

CS3495C03 1 × 0.22μmol

分析証明書

Search by lot number

保存条件

AA

パテントおよび免責条項

BY USE OF THIS PRODUCT, RESEARCHER AGREES TO BE BOUND BY THE TERMS OF THIS LIMITED USE LABEL LICENSE. If researcher is not willing to accept the terms of this label license, and the product is unused, Promega will accept return of the unused product and provide researcher with a full refund.
Researcher may use this product for research use only; no transfer or commercial use of this product is allowed. Commercial use means any and all uses of this product by a party in exchange for consideration, including, but not limited to (1) use in further product manufacture; (2) use in provision of services, information or data; and (3) resale of the product or its derivatives, whether or not such product or derivatives are resold for use in research. With respect to any uses outside this label license, including any commercial, diagnostic, therapeutic or prophylactic uses, please contact Promega for supply and licensing information. PROMEGA MAKES NO REPRESENTATIONS OR WARRANTIES OF ANY KIND, EITHER EXPRESSED OR IMPLIED, INCLUDING FOR MERCHANTABILITY OR FITNESS FOR A PARTICULAR PURPOSE WITH REGARDS TO THE PRODUCT. The terms of this label license shall be governed under the laws of the State of Wisconsin, USA.

Licensed under U.S. Pat. Nos. 9,933,417, 10,018,624 and 10,161,932 from Howard Hughes Medical Institute.

選択製品の構成品内容

Item Part # Size

Janelia Fluor® 549 HaloTag® Ligand

GA111A 1 × 5μg

分析証明書

Search by lot number

使用制限

For Research Use Only. Not for Use in Diagnostic Procedures.

保存条件

BB

パテントおよび免責条項

BY USE OF THIS PRODUCT, RESEARCHER AGREES TO BE BOUND BY THE TERMS OF THIS LIMITED USE LABEL LICENSE. If researcher is not willing to accept the terms of this label license, and the product is unused, Promega will accept return of the unused product and provide researcher with a full refund.
Researcher may use this product for research use only; no transfer or commercial use of this product is allowed. Commercial use means any and all uses of this product by a party in exchange for consideration, including, but not limited to (1) use in further product manufacture; (2) use in provision of services, information or data; and (3) resale of the product or its derivatives, whether or not such product or derivatives are resold for use in research. With respect to any uses outside this label license, including any commercial, diagnostic, therapeutic or prophylactic uses, please contact Promega for supply and licensing information. PROMEGA MAKES NO REPRESENTATIONS OR WARRANTIES OF ANY KIND, EITHER EXPRESSED OR IMPLIED, INCLUDING FOR MERCHANTABILITY OR FITNESS FOR A PARTICULAR PURPOSE WITH REGARDS TO THE PRODUCT. The terms of this label license shall be governed under the laws of the State of Wisconsin, USA.

Licensed under U.S. Pat. Nos. 9,933,417, 10,018,624 and 10,161,932 from Howard Hughes Medical Institute.

選択製品の構成品内容

Item Part # Size

Janelia Fluor® 549 HaloTag® Ligand

GA111A 3 × 5μg

分析証明書

Search by lot number

使用制限

For Research Use Only. Not for Use in Diagnostic Procedures.

保存条件

BB

パテントおよび免責条項

BY USE OF THIS PRODUCT, RESEARCHER AGREES TO BE BOUND BY THE TERMS OF THIS LIMITED USE LABEL LICENSE. If researcher is not willing to accept the terms of this label license, and the product is unused, Promega will accept return of the unused product and provide researcher with a full refund.
Researcher may use this product for research use only; no transfer or commercial use of this product is allowed. Commercial use means any and all uses of this product by a party in exchange for consideration, including, but not limited to (1) use in further product manufacture; (2) use in provision of services, information or data; and (3) resale of the product or its derivatives, whether or not such product or derivatives are resold for use in research. With respect to any uses outside this label license, including any commercial, diagnostic, therapeutic or prophylactic uses, please contact Promega for supply and licensing information. PROMEGA MAKES NO REPRESENTATIONS OR WARRANTIES OF ANY KIND, EITHER EXPRESSED OR IMPLIED, INCLUDING FOR MERCHANTABILITY OR FITNESS FOR A PARTICULAR PURPOSE WITH REGARDS TO THE PRODUCT. The terms of this label license shall be governed under the laws of the State of Wisconsin, USA.

Licensed under U.S. Pat. Nos. 9,933,417, 10,018,624 and 10,161,932 from Howard Hughes Medical Institute.

選択製品の構成品内容

Item Part # Size

Janelia Fluor® 646 HaloTag® Ligand

GA112A 1 × 5μg

分析証明書

Search by lot number

使用制限

For Research Use Only. Not for Use in Diagnostic Procedures.

保存条件

BB

パテントおよび免責条項

BY USE OF THIS PRODUCT, RESEARCHER AGREES TO BE BOUND BY THE TERMS OF THIS LIMITED USE LABEL LICENSE. If researcher is not willing to accept the terms of this label license, and the product is unused, Promega will accept return of the unused product and provide researcher with a full refund.
Researcher may use this product for research use only; no transfer or commercial use of this product is allowed. Commercial use means any and all uses of this product by a party in exchange for consideration, including, but not limited to (1) use in further product manufacture; (2) use in provision of services, information or data; and (3) resale of the product or its derivatives, whether or not such product or derivatives are resold for use in research. With respect to any uses outside this label license, including any commercial, diagnostic, therapeutic or prophylactic uses, please contact Promega for supply and licensing information. PROMEGA MAKES NO REPRESENTATIONS OR WARRANTIES OF ANY KIND, EITHER EXPRESSED OR IMPLIED, INCLUDING FOR MERCHANTABILITY OR FITNESS FOR A PARTICULAR PURPOSE WITH REGARDS TO THE PRODUCT. The terms of this label license shall be governed under the laws of the State of Wisconsin, USA.

Licensed under U.S. Pat. Nos. 9,933,417, 10,018,624 and 10,161,932 from Howard Hughes Medical Institute.

選択製品の構成品内容

Item Part # Size

Janelia Fluor® 646 HaloTag® Ligand

GA112A 3 × 5μg

分析証明書

Search by lot number

使用制限

For Research Use Only. Not for Use in Diagnostic Procedures.

保存条件

BB

パテントおよび免責条項

BY USE OF THIS PRODUCT, RESEARCHER AGREES TO BE BOUND BY THE TERMS OF THIS LIMITED USE LABEL LICENSE. If researcher is not willing to accept the terms of this label license, and the product is unused, Promega will accept return of the unused product and provide researcher with a full refund.
Researcher may use this product for research use only; no transfer or commercial use of this product is allowed. Commercial use means any and all uses of this product by a party in exchange for consideration, including, but not limited to (1) use in further product manufacture; (2) use in provision of services, information or data; and (3) resale of the product or its derivatives, whether or not such product or derivatives are resold for use in research. With respect to any uses outside this label license, including any commercial, diagnostic, therapeutic or prophylactic uses, please contact Promega for supply and licensing information. PROMEGA MAKES NO REPRESENTATIONS OR WARRANTIES OF ANY KIND, EITHER EXPRESSED OR IMPLIED, INCLUDING FOR MERCHANTABILITY OR FITNESS FOR A PARTICULAR PURPOSE WITH REGARDS TO THE PRODUCT. The terms of this label license shall be governed under the laws of the State of Wisconsin, USA.

Licensed under U.S. Pat. Nos. 9,933,417, 10,018,624 and 10,161,932 from Howard Hughes Medical Institute.

選択製品の構成品内容

Item Part # Size Concentration

HaloTag® Coumarin Ligand

G858A 1 × 30μl 10mM

分析証明書

Search by lot number

使用制限

For Research Use Only. Not for Use in Diagnostic Procedures.

保存条件

BB

パテントおよび免責条項

BY USE OF THIS PRODUCT, RESEARCHER AGREES TO BE BOUND BY THE TERMS OF THIS LIMITED USE LABEL LICENSE. If researcher is not willing to accept the terms of this label license, and the product is unused, Promega will accept return of the unused product and provide researcher with a full refund.
Researcher may use this product for research use only; no transfer or commercial use of this product is allowed. Commercial use means any and all uses of this product by a party in exchange for consideration, including, but not limited to (1) use in further product manufacture; (2) use in provision of services, information or data; and (3) resale of the product or its derivatives, whether or not such product or derivatives are resold for use in research. With respect to any uses outside this label license, including any commercial, diagnostic, therapeutic or prophylactic uses, please contact Promega for supply and licensing information. PROMEGA MAKES NO REPRESENTATIONS OR WARRANTIES OF ANY KIND, EITHER EXPRESSED OR IMPLIED, INCLUDING FOR MERCHANTABILITY OR FITNESS FOR A PARTICULAR PURPOSE WITH REGARDS TO THE PRODUCT. The terms of this label license shall be governed under the laws of the State of Wisconsin, USA.

選択製品の構成品内容

Item Part # Size

HaloTag® Coumarin Ligand

G858B 1 × 15μl

分析証明書

Search by lot number

使用制限

For Research Use Only. Not for Use in Diagnostic Procedures.

保存条件

BB

パテントおよび免責条項

BY USE OF THIS PRODUCT, RESEARCHER AGREES TO BE BOUND BY THE TERMS OF THIS LIMITED USE LABEL LICENSE. If researcher is not willing to accept the terms of this label license, and the product is unused, Promega will accept return of the unused product and provide researcher with a full refund.
Researcher may use this product for research use only; no transfer or commercial use of this product is allowed. Commercial use means any and all uses of this product by a party in exchange for consideration, including, but not limited to (1) use in further product manufacture; (2) use in provision of services, information or data; and (3) resale of the product or its derivatives, whether or not such product or derivatives are resold for use in research. With respect to any uses outside this label license, including any commercial, diagnostic, therapeutic or prophylactic uses, please contact Promega for supply and licensing information. PROMEGA MAKES NO REPRESENTATIONS OR WARRANTIES OF ANY KIND, EITHER EXPRESSED OR IMPLIED, INCLUDING FOR MERCHANTABILITY OR FITNESS FOR A PARTICULAR PURPOSE WITH REGARDS TO THE PRODUCT. The terms of this label license shall be governed under the laws of the State of Wisconsin, USA.

選択製品の構成品内容

Item Part # Size Concentration

HaloTag® diAcFAM Ligand

G827B 1 × 30μl 1mM

分析証明書

Search by lot number

使用制限

For Research Use Only. Not for Use in Diagnostic Procedures.

保存条件

BB

パテントおよび免責条項

BY USE OF THIS PRODUCT, RESEARCHER AGREES TO BE BOUND BY THE TERMS OF THIS LIMITED USE LABEL LICENSE. If researcher is not willing to accept the terms of this label license, and the product is unused, Promega will accept return of the unused product and provide researcher with a full refund.
Researcher may use this product for research use only; no transfer or commercial use of this product is allowed. Commercial use means any and all uses of this product by a party in exchange for consideration, including, but not limited to (1) use in further product manufacture; (2) use in provision of services, information or data; and (3) resale of the product or its derivatives, whether or not such product or derivatives are resold for use in research. With respect to any uses outside this label license, including any commercial, diagnostic, therapeutic or prophylactic uses, please contact Promega for supply and licensing information. PROMEGA MAKES NO REPRESENTATIONS OR WARRANTIES OF ANY KIND, EITHER EXPRESSED OR IMPLIED, INCLUDING FOR MERCHANTABILITY OR FITNESS FOR A PARTICULAR PURPOSE WITH REGARDS TO THE PRODUCT. The terms of this label license shall be governed under the laws of the State of Wisconsin, USA.

選択製品の構成品内容

Item Part # Size

HaloTag® diAcFAM Ligand

G827C 1 × 15μl

分析証明書

Search by lot number

使用制限

For Research Use Only. Not for Use in Diagnostic Procedures.

保存条件

BB

パテントおよび免責条項

BY USE OF THIS PRODUCT, RESEARCHER AGREES TO BE BOUND BY THE TERMS OF THIS LIMITED USE LABEL LICENSE. If researcher is not willing to accept the terms of this label license, and the product is unused, Promega will accept return of the unused product and provide researcher with a full refund.
Researcher may use this product for research use only; no transfer or commercial use of this product is allowed. Commercial use means any and all uses of this product by a party in exchange for consideration, including, but not limited to (1) use in further product manufacture; (2) use in provision of services, information or data; and (3) resale of the product or its derivatives, whether or not such product or derivatives are resold for use in research. With respect to any uses outside this label license, including any commercial, diagnostic, therapeutic or prophylactic uses, please contact Promega for supply and licensing information. PROMEGA MAKES NO REPRESENTATIONS OR WARRANTIES OF ANY KIND, EITHER EXPRESSED OR IMPLIED, INCLUDING FOR MERCHANTABILITY OR FITNESS FOR A PARTICULAR PURPOSE WITH REGARDS TO THE PRODUCT. The terms of this label license shall be governed under the laws of the State of Wisconsin, USA.

選択製品の構成品内容

Item Part # Size Concentration

HaloTag® Oregon Green® Ligand

G280A 1 × 30μl 1mM

分析証明書

Search by lot number

使用制限

For Research Use Only. Not for Use in Diagnostic Procedures.

保存条件

BB

パテントおよび免責条項

BY USE OF THIS PRODUCT, RESEARCHER AGREES TO BE BOUND BY THE TERMS OF THIS LIMITED USE LABEL LICENSE. If researcher is not willing to accept the terms of this label license, and the product is unused, Promega will accept return of the unused product and provide researcher with a full refund.
Researcher may use this product for research use only; no transfer or commercial use of this product is allowed. Commercial use means any and all uses of this product by a party in exchange for consideration, including, but not limited to (1) use in further product manufacture; (2) use in provision of services, information or data; and (3) resale of the product or its derivatives, whether or not such product or derivatives are resold for use in research. With respect to any uses outside this label license, including any commercial, diagnostic, therapeutic or prophylactic uses, please contact Promega for supply and licensing information. PROMEGA MAKES NO REPRESENTATIONS OR WARRANTIES OF ANY KIND, EITHER EXPRESSED OR IMPLIED, INCLUDING FOR MERCHANTABILITY OR FITNESS FOR A PARTICULAR PURPOSE WITH REGARDS TO THE PRODUCT. The terms of this label license shall be governed under the laws of the State of Wisconsin, USA.

選択製品の構成品内容

Item Part # Size

HaloTag® Oregon Green® Ligand

G280B 1 × 15μl

分析証明書

Search by lot number

使用制限

For Research Use Only. Not for Use in Diagnostic Procedures.

保存条件

BB

パテントおよび免責条項

BY USE OF THIS PRODUCT, RESEARCHER AGREES TO BE BOUND BY THE TERMS OF THIS LIMITED USE LABEL LICENSE. If researcher is not willing to accept the terms of this label license, and the product is unused, Promega will accept return of the unused product and provide researcher with a full refund.
Researcher may use this product for research use only; no transfer or commercial use of this product is allowed. Commercial use means any and all uses of this product by a party in exchange for consideration, including, but not limited to (1) use in further product manufacture; (2) use in provision of services, information or data; and (3) resale of the product or its derivatives, whether or not such product or derivatives are resold for use in research. With respect to any uses outside this label license, including any commercial, diagnostic, therapeutic or prophylactic uses, please contact Promega for supply and licensing information. PROMEGA MAKES NO REPRESENTATIONS OR WARRANTIES OF ANY KIND, EITHER EXPRESSED OR IMPLIED, INCLUDING FOR MERCHANTABILITY OR FITNESS FOR A PARTICULAR PURPOSE WITH REGARDS TO THE PRODUCT. The terms of this label license shall be governed under the laws of the State of Wisconsin, USA.

選択製品の構成品内容

Item Part # Size

HaloTag® R110Direct™ Ligand

G322A 1 × 30μl

分析証明書

Search by lot number

使用制限

For Research Use Only. Not for Use in Diagnostic Procedures.

保存条件

BB

パテントおよび免責条項

BY USE OF THIS PRODUCT, RESEARCHER AGREES TO BE BOUND BY THE TERMS OF THIS LIMITED USE LABEL LICENSE. If researcher is not willing to accept the terms of this label license, and the product is unused, Promega will accept return of the unused product and provide researcher with a full refund.
Researcher may use this product for research use only; no transfer or commercial use of this product is allowed. Commercial use means any and all uses of this product by a party in exchange for consideration, including, but not limited to (1) use in further product manufacture; (2) use in provision of services, information or data; and (3) resale of the product or its derivatives, whether or not such product or derivatives are resold for use in research. With respect to any uses outside this label license, including any commercial, diagnostic, therapeutic or prophylactic uses, please contact Promega for supply and licensing information. PROMEGA MAKES NO REPRESENTATIONS OR WARRANTIES OF ANY KIND, EITHER EXPRESSED OR IMPLIED, INCLUDING FOR MERCHANTABILITY OR FITNESS FOR A PARTICULAR PURPOSE WITH REGARDS TO THE PRODUCT. The terms of this label license shall be governed under the laws of the State of Wisconsin, USA.

選択製品の構成品内容

Item Part # Size Concentration

HaloTag® TMR Ligand

G825A 1 × 30μl 5mM

分析証明書

Search by lot number

使用制限

For Research Use Only. Not for Use in Diagnostic Procedures.

保存条件

BB

パテントおよび免責条項

BY USE OF THIS PRODUCT, RESEARCHER AGREES TO BE BOUND BY THE TERMS OF THIS LIMITED USE LABEL LICENSE. If researcher is not willing to accept the terms of this label license, and the product is unused, Promega will accept return of the unused product and provide researcher with a full refund.
Researcher may use this product for research use only; no transfer or commercial use of this product is allowed. Commercial use means any and all uses of this product by a party in exchange for consideration, including, but not limited to (1) use in further product manufacture; (2) use in provision of services, information or data; and (3) resale of the product or its derivatives, whether or not such product or derivatives are resold for use in research. With respect to any uses outside this label license, including any commercial, diagnostic, therapeutic or prophylactic uses, please contact Promega for supply and licensing information. PROMEGA MAKES NO REPRESENTATIONS OR WARRANTIES OF ANY KIND, EITHER EXPRESSED OR IMPLIED, INCLUDING FOR MERCHANTABILITY OR FITNESS FOR A PARTICULAR PURPOSE WITH REGARDS TO THE PRODUCT. The terms of this label license shall be governed under the laws of the State of Wisconsin, USA.

選択製品の構成品内容

Item Part # Size

HaloTag® TMR Ligand

G825B 1 × 15μl

分析証明書

Search by lot number

使用制限

For Research Use Only. Not for Use in Diagnostic Procedures.

保存条件

BB

パテントおよび免責条項

BY USE OF THIS PRODUCT, RESEARCHER AGREES TO BE BOUND BY THE TERMS OF THIS LIMITED USE LABEL LICENSE. If researcher is not willing to accept the terms of this label license, and the product is unused, Promega will accept return of the unused product and provide researcher with a full refund.
Researcher may use this product for research use only; no transfer or commercial use of this product is allowed. Commercial use means any and all uses of this product by a party in exchange for consideration, including, but not limited to (1) use in further product manufacture; (2) use in provision of services, information or data; and (3) resale of the product or its derivatives, whether or not such product or derivatives are resold for use in research. With respect to any uses outside this label license, including any commercial, diagnostic, therapeutic or prophylactic uses, please contact Promega for supply and licensing information. PROMEGA MAKES NO REPRESENTATIONS OR WARRANTIES OF ANY KIND, EITHER EXPRESSED OR IMPLIED, INCLUDING FOR MERCHANTABILITY OR FITNESS FOR A PARTICULAR PURPOSE WITH REGARDS TO THE PRODUCT. The terms of this label license shall be governed under the laws of the State of Wisconsin, USA.

選択製品の構成品内容

Item Part # Size Available Separately

HaloTag® TMRDirect™ Ligand

G299A 1 × 30μl View Product

分析証明書

Search by lot number

使用制限

For Research Use Only. Not for Use in Diagnostic Procedures.

保存条件

BB

パテントおよび免責条項

BY USE OF THIS PRODUCT, RESEARCHER AGREES TO BE BOUND BY THE TERMS OF THIS LIMITED USE LABEL LICENSE. If researcher is not willing to accept the terms of this label license, and the product is unused, Promega will accept return of the unused product and provide researcher with a full refund.
Researcher may use this product for research use only; no transfer or commercial use of this product is allowed. Commercial use means any and all uses of this product by a party in exchange for consideration, including, but not limited to (1) use in further product manufacture; (2) use in provision of services, information or data; and (3) resale of the product or its derivatives, whether or not such product or derivatives are resold for use in research. With respect to any uses outside this label license, including any commercial, diagnostic, therapeutic or prophylactic uses, please contact Promega for supply and licensing information. PROMEGA MAKES NO REPRESENTATIONS OR WARRANTIES OF ANY KIND, EITHER EXPRESSED OR IMPLIED, INCLUDING FOR MERCHANTABILITY OR FITNESS FOR A PARTICULAR PURPOSE WITH REGARDS TO THE PRODUCT. The terms of this label license shall be governed under the laws of the State of Wisconsin, USA.

選択製品の構成品内容

Item Part # Size Concentration

HaloTag® Alexa Fluor® 488 Ligand

G100A 1 × 30μl 1mM

分析証明書

Search by lot number

使用制限

For Research Use Only. Not for Use in Diagnostic Procedures.

保存条件

BB

パテントおよび免責条項

BY USE OF THIS PRODUCT, RESEARCHER AGREES TO BE BOUND BY THE TERMS OF THIS LIMITED USE LABEL LICENSE. If researcher is not willing to accept the terms of this label license, and the product is unused, Promega will accept return of the unused product and provide researcher with a full refund.
Researcher may use this product for research use only; no transfer or commercial use of this product is allowed. Commercial use means any and all uses of this product by a party in exchange for consideration, including, but not limited to (1) use in further product manufacture; (2) use in provision of services, information or data; and (3) resale of the product or its derivatives, whether or not such product or derivatives are resold for use in research. With respect to any uses outside this label license, including any commercial, diagnostic, therapeutic or prophylactic uses, please contact Promega for supply and licensing information. PROMEGA MAKES NO REPRESENTATIONS OR WARRANTIES OF ANY KIND, EITHER EXPRESSED OR IMPLIED, INCLUDING FOR MERCHANTABILITY OR FITNESS FOR A PARTICULAR PURPOSE WITH REGARDS TO THE PRODUCT. The terms of this label license shall be governed under the laws of the State of Wisconsin, USA.

選択製品の構成品内容

Item Part # Size

HaloTag® Alexa Fluor® 488 Ligand

G100B 1 × 15μl

分析証明書

Search by lot number

使用制限

For Research Use Only. Not for Use in Diagnostic Procedures.

保存条件

BB

パテントおよび免責条項

BY USE OF THIS PRODUCT, RESEARCHER AGREES TO BE BOUND BY THE TERMS OF THIS LIMITED USE LABEL LICENSE. If researcher is not willing to accept the terms of this label license, and the product is unused, Promega will accept return of the unused product and provide researcher with a full refund.
Researcher may use this product for research use only; no transfer or commercial use of this product is allowed. Commercial use means any and all uses of this product by a party in exchange for consideration, including, but not limited to (1) use in further product manufacture; (2) use in provision of services, information or data; and (3) resale of the product or its derivatives, whether or not such product or derivatives are resold for use in research. With respect to any uses outside this label license, including any commercial, diagnostic, therapeutic or prophylactic uses, please contact Promega for supply and licensing information. PROMEGA MAKES NO REPRESENTATIONS OR WARRANTIES OF ANY KIND, EITHER EXPRESSED OR IMPLIED, INCLUDING FOR MERCHANTABILITY OR FITNESS FOR A PARTICULAR PURPOSE WITH REGARDS TO THE PRODUCT. The terms of this label license shall be governed under the laws of the State of Wisconsin, USA.

選択製品の構成品内容

Item Part # Size Concentration
HaloTag® Alexa Fluor® 660 Ligand G847A 1 × 30μl 3.5mM

分析証明書

Search by lot number

使用制限

For Research Use Only. Not for Use in Diagnostic Procedures.

保存条件

BB

パテントおよび免責条項

BY USE OF THIS PRODUCT, RESEARCHER AGREES TO BE BOUND BY THE TERMS OF THIS LIMITED USE LABEL LICENSE. If researcher is not willing to accept the terms of this label license, and the product is unused, Promega will accept return of the unused product and provide researcher with a full refund.
Researcher may use this product for research use only; no transfer or commercial use of this product is allowed. Commercial use means any and all uses of this product by a party in exchange for consideration, including, but not limited to (1) use in further product manufacture; (2) use in provision of services, information or data; and (3) resale of the product or its derivatives, whether or not such product or derivatives are resold for use in research. With respect to any uses outside this label license, including any commercial, diagnostic, therapeutic or prophylactic uses, please contact Promega for supply and licensing information. PROMEGA MAKES NO REPRESENTATIONS OR WARRANTIES OF ANY KIND, EITHER EXPRESSED OR IMPLIED, INCLUDING FOR MERCHANTABILITY OR FITNESS FOR A PARTICULAR PURPOSE WITH REGARDS TO THE PRODUCT. The terms of this label license shall be governed under the laws of the State of Wisconsin, USA.

選択製品の構成品内容

Item Part # Size Concentration
HaloTag® Alexa Fluor® 660 Ligand G847B 1 × 15μl 3.5mM

分析証明書

Search by lot number

使用制限

For Research Use Only. Not for Use in Diagnostic Procedures.

保存条件

BB

パテントおよび免責条項

BY USE OF THIS PRODUCT, RESEARCHER AGREES TO BE BOUND BY THE TERMS OF THIS LIMITED USE LABEL LICENSE. If researcher is not willing to accept the terms of this label license, and the product is unused, Promega will accept return of the unused product and provide researcher with a full refund.
Researcher may use this product for research use only; no transfer or commercial use of this product is allowed. Commercial use means any and all uses of this product by a party in exchange for consideration, including, but not limited to (1) use in further product manufacture; (2) use in provision of services, information or data; and (3) resale of the product or its derivatives, whether or not such product or derivatives are resold for use in research. With respect to any uses outside this label license, including any commercial, diagnostic, therapeutic or prophylactic uses, please contact Promega for supply and licensing information. PROMEGA MAKES NO REPRESENTATIONS OR WARRANTIES OF ANY KIND, EITHER EXPRESSED OR IMPLIED, INCLUDING FOR MERCHANTABILITY OR FITNESS FOR A PARTICULAR PURPOSE WITH REGARDS TO THE PRODUCT. The terms of this label license shall be governed under the laws of the State of Wisconsin, USA.

関連製品

製品使用文献

この製品が使用された最新の論文

PubMedで文献を見る