FastBreak™ Cell Lysis Reagent

Part Numbers: V8571, V8572, V8573

customize-this-small

迅速な大腸菌溶解剤で遠心や機械的な破砕は不要

  • 遠心操作、機械的破砕操作を排除
  • シンプルな " 添加 - インキュベート " プロトコール
  • マニュアルまたは自動化プラットフォームにも適応

Size

選択製品のカタログ番号: V8571

Please Enquire
This product is discontinued
This product is available under our Early Access program - Learn More
This product is available under our Catalog (FT) program - Learn More
FastBreak™ Cell Lysis Reagent
15ml
Your price:
Change Configuration

Efficient Lysis of E. coli Cultures; No Centrifugation or Mechanical Disruption Needed

FastBreak™ Cell Lysis Reagentは遠心や機械的な細胞破砕を伴わずに効率的、マイルドに大腸菌を溶解するための試薬です。この細胞溶解剤は菌体の溶解を促進する特殊な非イオン性界面活性剤が含まれており、10倍濃度の試薬として供給されます。本試薬を菌体培養液に直接添加し、短時間のインキュベーションを行うと細胞は溶解し、目的のタンパク質が遊離します。MagneHis™ Protein Purification System(Cat.#V8500)などの適切な親和性マトリックスを加えることにより、細胞抽出液から直接組換えタンパク質をスクリーニングまたは精製することができます。このフォーマットはマニュアル操作および自動分注装置を用いた自動化の両方に対応します。


  • 短時間: 遠心や機械的な破砕操作は不要
  • 簡便: 添加してインキュベーションするだけ
  • 柔軟性: マニュアル操作およびロボットによる自動操作に対応

  • 大腸菌の培養を、遠心や物理的な細胞破砕を伴わずに効率的、穏やかに溶解

さらに知りたい方は、プロトコール&ガイド(英語)をご覧ください。

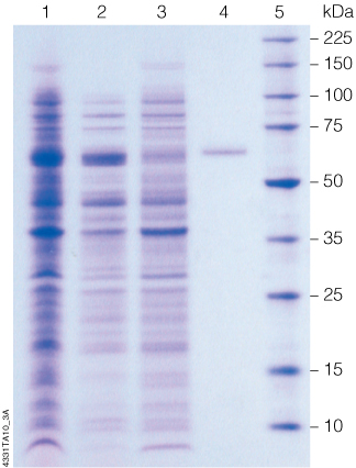
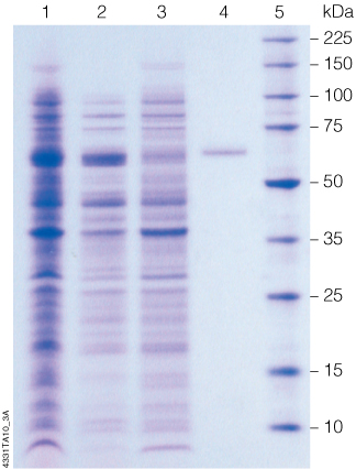
Manual purification of a 6X His-tagged fusion protein using FastBreak™ Cell Lysis Reagent and the MagneHis™ Protein Purification System.

Manual purification of a 6X His-tagged fusion protein using FastBreak™ Cell Lysis Reagent and the MagneHis™ Protein Purification System. Lane 1, bacterial cell lysate expressing 6X His-tagged firefly luciferase lysed by the addition of FastBreak™ Reagent; lane 2, postlysis cell supernatant demonstrating that the protein is solubilized; lane 3, flowthrough of cell lysate after the addition of MagneHis™ Ni-Particles; lane 4, eluted 6X His-tagged firefly luciferase; lane 5, Broad Range Protein Molecular Weight Markers (Cat.# V8491).

製品仕様

You are viewing: V8571 Change Configuration

選択製品の構成品内容

Item Part # Size

FastBreak™ Cell Lysis Reagent, 10X

V857A 1 × 15ml

分析証明書

Search by lot number

使用制限

For Research Use Only. Not for Use in Diagnostic Procedures.

保存条件

P

パテントおよび免責条項

This product is licensed for use under U.S. Pat. No. 6,174,704.

製品仕様

You are viewing: V8572 Change Configuration

選択製品の構成品内容

Item Part # Size

FastBreak™ Cell Lysis Reagent, 10X

V857B 1 × 60ml

分析証明書

Search by lot number

使用制限

For Research Use Only. Not for Use in Diagnostic Procedures.

保存条件

P

パテントおよび免責条項

This product is licensed for use under U.S. Pat. No. 6,174,704.

製品仕様

You are viewing: V8573 Change Configuration

選択製品の構成品内容

Item Part # Size

FastBreak™ Cell Lysis Reagent, 10X

V857C 1 × 100ml

分析証明書

Search by lot number

使用制限

For Research Use Only. Not for Use in Diagnostic Procedures.

保存条件

P

パテントおよび免責条項

This product is licensed for use under U.S. Pat. No. 6,174,704.

Let's find the product that meets your needs.

Talk to a Scientist

scientist-uk-stephen

Stephen

UK